17 choses qui peuvent mal tourner avec vos pieds à mesure que vous vieillissez
Les Informations Présentées Sur Ce Site Ne Constituent Pas Un Avis Médical. Nous Ne Vendons Rien. L'Exactitude De La Traduction N'Est Pas Garantie. Clause De Non-Responsabilité
Effets secondaires des capsules racinaires de la maca
Atrophie des graisses

Vieillir peut souvent prendre du poids et de la graisse supplémentaires. Mais le seul endroit où vous pouvez perdre un rembourrage est à vos pieds. C'est mauvais parce que vous avez besoin de la couche amorti pour protéger vos tootsies contre les marteaux quotidiens. Vous pouvez ressentir de la douleur dans le ballon de votre pied et de votre talon. Les chaussures avec coussins ou inserts de chaussures en mousse sur mesure appelées orthèses peuvent aider. Ou votre médecin peut suggérer un autre traitement comme les injections de remplissage pour remplacer le coussin de graisse.
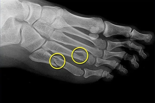
Névrome de Morton

Il s'agit d'une condition du pied très courante. Jusqu'à une personne sur trois peut l'avoir. Les symptômes incluent la douleur dans la partie avant de votre pied ou un sentiment que vous marchez sur un rocher ou un marbre. Cela se produit bien plus souvent chez les femmes plus âgées et chez ceux qui portent des talons hauts ou des chaussures avec une boîte à orteils serrée. La commutation de tampons de chaussures et de massage peut aider. Si votre douleur devient sévère, votre médecin peut suggérer des photos de stéroïdes ou une chirurgie.
Talons craqués

La peau mature fait moins d'huile et d'élastine, ce qui la laisse plus sèche et moins souple. Sans soin régulier, vos talons peuvent durcir la fissure ou le mal. Être en surpoids aggrave le problème. Les crèmes spéciales appelées kératolytiques aident à se retirer de la couche supérieure difficile. Suivez avec une pierre ponce pour éliminer la peau morte. Appliquez une lotion hydratante tous les jours. Si vos talons deviennent gonflés et rouges, parlez à votre médecin. Vous pourriez avoir besoin d'une pommade sur ordonnance.
Fasciite plantaire

Vous avez mal au fond de vos talons? Cette condition est la raison n ° 1 à cela. Le fascia plantaire est un long ligament qui longe la semelle de votre pied et soutient votre arche. Des stress répétés comme le jogging ou même la tension quotidienne peuvent l'irriter provoquant de la douleur et de la raideur. Si vous avez des arches élevées ou si vous êtes en surpoids, vous pouvez être plus sujet à ce problème. Les analgésiques en vente libre de la glace de repos et les étirements des muscles du mollet peuvent aider.
Ongles incarnés

Parfois, le côté d'un clou (généralement sur le gros orteil) pousse dans la peau. Cela peut arriver à tout âge, mais c'est plus courant chez les personnes âgées. Votre orteil peut gonfler blessé et être infecté. Les pieds en sueur étant en surpoids et le diabète s'additionnent tous et augmentent vos chances d'un ongle incarné. Pour l'empêcher, évitez de couper vos ongles trop courts ou portez des chaussures serrées. Dans les cas graves, votre médecin peut avoir à éliminer la racine des ongles.
Arthrose

Au moment où vous atteignez votre 50e anniversaire, vos pieds peuvent avoir parcouru 75000 miles ou plus. Toutes ces usures ou une blessure antérieure peuvent conduire à l'arthrose. Cela se produit lorsque le cartilage un tissu flexible qui empêche la friction se décompose. Cela permet aux os frotter contre les os. Most people who get it are over 65.
Puis-je prendre azo avec des antibiotiques
Pied plat

De nombreux bébés naissent avec les pieds plats, mais plus de 80% les dépassent. Certains adultes obtiennent des pieds plats en raison d'une blessure ou des choses comme le diabète de l'obésité et l'hypertension artérielle. Les tendons qui soutiennent votre arc sont endommagés et aplatissent vos pieds. Ça peut faire mal. Un cadeau est que vos pieds se déchaînent pour que la plupart de vos orteils soient visibles derrière votre jambe. Normalement, vous ne verriez que les quatrième et cinquième orteils. Les accolades de physiothérapie en orthèse et la chirurgie peuvent aider.
Tendinite d'Achille

L'Achille est le tendon que vous utilisez pour fléchir votre pied lorsque vous montez des escaliers ou montez sur vos orteils. L'âge et l'approvisionnement en sang réduit peuvent affaiblir le tendon. Votre talon ou le dos de votre cheville peut blesser. Le glaçage et les médicaments peuvent aider à lutter contre le gonflement. N'ignorez pas le problème. Vous pourriez avoir besoin d'une intervention chirurgicale pour de graves larmes.
Ulcère du pied diabétique

Le diabète peut endommager vos nerfs afin de ne pas ressentir de petites coupes ou de blessures. Vos pieds pourraient également se sentir engourdis ou souffrir de douleur. Les ulcères des pieds peuvent commencer comme quelque chose de petit comme une ampoule, mais de plus en plus gros et infecté. Ils sont une cause majeure d'amputations chez les personnes atteintes de diabète. Gardez la glycémie contrôlée et vérifiez souvent vos pieds. Consultez un médecin tout de suite si vous voyez quelque chose d'étrange.
Goutte

Cette forme douloureuse d'arthrite est la plus fréquente chez les hommes d'âge moyen. Cela se produit lorsqu'un déchet appelé acide urique se rassemble sous forme de cristaux souvent dans le gros orteil. Il peut se raider et faire beaucoup de mal. Votre médecin peut prescrire des médicaments pour soulager le gonflement. Vous pouvez vous sentir mieux dans environ une journée. Exercice Mangez moins de viande rouge et de crustacés va facilement pour les boissons alcoolisées et les aliments sucrés et boire beaucoup de liquides pour aider à prévenir les futures attaques.
Oignons

Ce sont des morceaux osseux douloureux qui poussent le long de l'intérieur de votre pied à l'articulation où votre gros orteil rencontre votre pied. Les oignons se développent lentement lorsque le gros orteil angle vers l'intérieur. Des chaussures étroites serrées comme des talons hauts peuvent les aggraver. C'est pourquoi les oignons apparaissent beaucoup plus souvent chez les femmes. Ils peuvent aussi courir dans les familles. Givrage des coussinets spéciaux et des chaussures qui ne sont pas trop serrés. Votre médecin pourrait suggérer une intervention chirurgicale dans des cas graves.
Éperons osseux

Vous pourriez confondre ces croissances osseuses lisses pour les oignons. Avec les oignons, les os sont déplacés. Les éperons osseux, d'autre part, sont des croissances au bord des os de votre pied souvent à mi-pied ou à un gros orteil. S'ils deviennent assez grands, ils pousseront les nerfs et les tissus à proximité et feront mal. L'arthrose ou un tendon ou un ligament tendu peut provoquer ces croissances qui sont plus courantes à mesure que vous vieillissez, surtout après 60 ans.
Bursite

Les petits sacs remplis de liquide appelées bursae aident à amortir vos articulations et les tendons. Le mouvement répété ou la friction des chaussures peut les faire gonfler. Dans le pied, vos orteils ou le talon peuvent devenir rouges gonflés et douloureux. Le rembourrage de glace et les anti-inflammatoires non stéroïdiens (AINS) tels que l'aspirine ibuprofène et le naproxène peuvent aider. Des cas graves peuvent avoir besoin d'un tir corticostéroïde ou même d'une chirurgie.
Effets secondaires du vaccin à long terme de la méningite
Orteil en marteau

C'est un virage anormal dans les articulations du milieu de votre orteil. C'est généralement votre «deuxième» orteil à côté du grand. Mais cela peut également affecter les troisième quatrième et cinquième orteils. Vous remarquerez une forme inhabituelle et vous pouvez avoir de la douleur lorsque vous le déplacez ainsi que des cors et des callosités de l'orteil se frottant contre votre chaussure. Votre médecin peut le traiter avec des analgésiques spéciaux et parfois une intervention chirurgicale.
Orteil à griffe

Ce type de pied déformée est similaire à Hammertoe. Mais au lieu que les orteils de griffe d'articulation du milieu affectent également les articulations les plus proches des pointes de vos orteils. Vos orteils se recroquevillent et creusent directement dans le sol ou la plante de vos chaussures. Les orteils de griffe deviennent plus rigides avec l'âge. Si vous pouvez les déplacer, essayez de renforcer les exercices comme ramasser un marbre ou un morceau de papier avec vos orteils.
Fractures de stress

Pour les femmes, les changements hormonaux qui accompagnent la ménopause peuvent réduire votre densité osseuse (ostéoporose) et faciliter la fracture des os, y compris ceux de vos pieds. Les hommes peuvent également obtenir plus d'os cassants à mesure qu'ils vieillissent. Une fracture de stress a besoin de plusieurs semaines de repos pour guérir. Vous voudrez renforcer vos os avec un régime d'exercice et peut-être aussi des médicaments. Demandez à votre médecin les prestations des risques et ce qui vous aiderait le plus.
Infections fongiques

Une peau moins élastique et une immunité plus faible peuvent inviter plus d'infections fongiques chez les personnes âgées. La semelle de votre pied peut évoluer et démanger. S'il n'est pas traité, l'infection peut se propager à vos ongles. Le traitement comprend des crèmes antifongiques et parfois des pilules. Le champignon est difficile à tuer, alors utilisez vos médicaments aussi longtemps que dirigés. CONSEIL: Ne salissez pas les crèmes de cortisone sur l'éruption cutanée. Ils affaiblissent les défenses de la peau et aggravent l'infection.
17 choses qui peuvent mal tourner avec vos pieds à mesure que vous vieillissez
Sources:
Images fournies par:
- John Bavosi / source scientifique
- ISM / ATHENAIS / Images médicales
- Larry Landolfi / source scientifique
- Images abruptes / Gettty
- Science Banques de photographie / source scientifique
- Dr P. Marazzi / source scientifique
- Images pour les yeux / Getty
- Mark Miller / Science Science
- Lea Paterson / source scientifique
- Entreprises d'art vivant / source scientifique
- Dr P. Marazzi / source scientifique
- Images Lordn / Getty
- Dr P. Marazzi / source scientifique
- Dr P. Marazzi / source scientifique
- Princesse Margaret Rose Hospital orthopédique / source scientifique
- Entreprises d'art vivant / source scientifique
- Dr P. Marazzi / source scientifique
Références:
- American Academy of Orthopedic Surgeons: `` Fracture de stress '' Névrome de Morton '' Achille Tendite '' Ostéoarthrite '' Fasciite plantaire et éperons osseux. '
- American College of Foot and Ankle Surgeons: 'Hammertoe' 'Votre fracture du pied est-elle un signe précoce d'ostéoporose? «Névrome de Morton (névrome intermétararsien)« Achille Tendon Disorders «Bursite» «oignons».
- Fondation d'arthrite: «Traitement d'ostéoporose» «Qu'est-ce que la goutte? «Qu'est-ce que l'arthrose? `` L'arthrose provoque '' arthrite
- Médecin de famille américaine: «Conditions courantes du tendon d'Achille».
- Association médicale podiatrique américaine: «tendinite».
- Cedars Sinaï: «Spurs osseux».
- Cleveland Clinic: «Hammertoes» «Fractures de stress» «Spurs osseux».
- Médecine évolutive et santé publique: «Médecine évolutive: pourquoi les humains obtiennent-ils des oignons?
- Collège de podiatrie: «pieds vieillissants».
- Harvard Health Publishing: Pourquoi vos pieds grossissent à mesure que vous vieillissez Êtes-vous à risque de goutte?
- Santé dans la fondation du vieillissement: «Problèmes de pied».
- Hôpital pour la chirurgie spéciale: «goutte: facteurs de risque Diagnostic et traitement».
- InformEdHealth.org: «Bunions: Présentation».
- Institut pour la santé préventive des pieds: «bursite».
- Orthopédie internationale: «Fractures de stress chez les patients âgés».
- Fondation internationale de l'ostéoporose: «Traiter l'ostéoporose».
- Clinique Mayo: `` Tee à maillet de Hammertoe et «Traitement de l'ostéoporose: les médicaments peuvent aider à« goutte »'neuropathie périphérique' 'Achille tendinite' 'arthrite' 'fasciite plantaire'.
- Institut national des troubles neurologiques et des accidents vasculaires cérébraux: «Fiche d'information sur la neuropathie périphérique».
- Pathologie orthopédique (cinquième édition) 2010: «Névrome de Morton».
- PM
- StatPearls: «Névrome de Morton».
- UCLA Health: Faire face aux changements que vos pieds subissent à mesure que vous vieillissez.
- Centre médical de l'Université de Rochester: «Comprendre les éperons osseux».
Cet outil ne fournit pas de conseils médicaux. Voir des informations supplémentaires:
Cet outil ne fournit pas de conseils médicaux. Il est destiné à des fins d'information générales uniquement et ne traite pas des circonstances individuelles. Il ne remplace pas le diagnostic ou le traitement professionnel des conseils médicaux et ne doit pas être invoqué pour prendre des décisions concernant votre santé. N'ignorez jamais les conseils médicaux professionnels dans la recherche de traitement à cause de quelque chose que vous avez lu sur le site . Si vous pensez avoir une urgence médicale, appelez immédiatement votre médecin ou composez le 911.
Quel type de médicament est ativan
© 1996-2025 WebMD LLC . Tous droits réservés.